每次照鏡子看到臉上又紅又腫的囊腫型痘痘,心裡總會冒出那個老問題:這到底要多久才會好?說實話,我也曾經為這個問題困擾很久。記得有次重要會議前長了一顆超大的囊腫型痘痘,那種焦急的心情我完全懂。
囊腫型痘痘多久好這個問題,真的沒有標準答案。但根據我的經驗和皮膚科醫師的建議,通常需要2-8週不等。為什麼範圍這麼大?因為每個人的膚質、痘痘嚴重程度和護理方式都不同。
重點先知道:囊腫型痘痘的恢復時間取決於多種因素,包括痘痘大小、深度、個人體質和治療方法。輕度的可能2-3週就好,重度的可能需要2個月以上。
什麼是囊腫型痘痘?
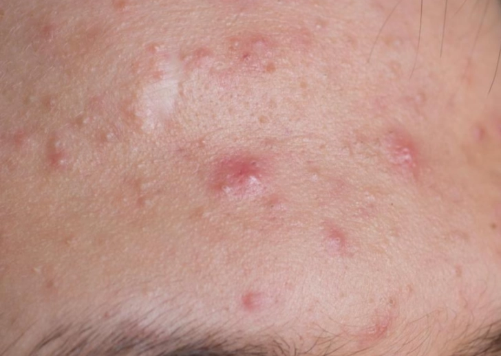
先搞清楚我們在對付什麼。囊腫型痘痘是痘痘中最頑固的一種,它不像普通痘痘只在表面,而是深達真皮層。摸起來硬硬的,按下去會痛,而且通常沒有明顯的膿頭。
這種痘痘之所以難搞,是因為發炎反應發生在皮膚深層。我自己就曾經誤以為是普通痘痘,拼命擠它,結果反而更嚴重。後來才知道,囊腫型痘痘根本不能擠,只會讓炎症擴散。
影響囊腫型痘痘恢復時間的因素
為什麼有些人恢復快,有些人卻要拖很久?以下這些因素都會影響囊腫型痘痘多久好:
| 因素 | 影響程度 | 說明 |
|---|---|---|
| 痘痘大小與深度 | ★★★★★ | 越大越深的痘痘需要越長時間恢復 |
| 個人體質 | ★★★★☆ | 新陳代謝速度影響恢復速度 |
| 治療方式 | ★★★★★ | 正確的治療可以縮短一半以上的時間 |
| 生活習慣 | ★★★☆☆ | 熬夜、壓力大會延緩恢復 |
| 飲食控制 | ★★★☆☆ | 甜食、油炸食物會加重發炎 |
我發現很多人忽略生活習慣的影響。有段時間我工作壓力大,天天熬夜,那時候的囊腫型痘痘簡直是野火燒不盡,春風吹又生。後來調整作息,配合治療,才發現恢復速度真的快很多。
囊腫型痘痘的治療時間表
來談談大家最關心的囊腫型痘痘多久好的具體時間。根據嚴重程度,恢復時間大致如下:
輕度囊腫型痘痘(直徑小於0.5公分)
這類痘痘通常2-4週可以明顯改善。關鍵是要及早治療,不要等到變嚴重才處理。我建議一發現就開始使用消炎藥膏,避免用手觸摸。
中度囊腫型痘痘(直徑0.5-1公分)
需要4-6週的治療時間。這個階段的痘痘已經比較深層,可能需要口服藥物配合外用藥治療。記得有顆長在下巴的囊腫型痘痘,我差不多花了5週才讓它完全消退。
重度囊腫型痘痘(直徑大於1公分或多顆聚集)
這是最麻煩的,可能需要6-8週甚至更長時間。通常需要皮膚科醫師的專業治療,有時候甚至要考慮局部注射類固醇。
小提醒:時間只是參考,實際恢復速度因人而異。重要的是保持耐心,不要因為心急而亂用偏方。
正確的護理方法
想要讓囊腫型痘痘快點好,正確的護理很重要。我整理了一些實用方法:
日常護理要點
清潔要溫和,過度清潔反而會破壞皮膚屏障。選擇溫和的洗面乳,水溫不要太熱。保濕要做好,但質地要清爽,避免堵塞毛孔。
防曬超級重要!紫外線會加重炎症反應,而且容易留下色素沉澱。我現在就算在家也會擦防曬,特別是痘痘部位。
絕對不要做的事
擠痘痘是大忌!囊腫型痘痘在深層,根本擠不出東西,只會讓情況更糟。也不要頻繁觸摸痘痘,手上的細菌會讓發炎更嚴重。
避免使用刺激性產品。有些人心急想快點好,同時使用多種強效產品,結果皮膚受不了,反而更紅更腫。
醫療治療選擇
對於頑固的囊腫型痘痘,專業醫療幫助很重要。以下是常見的治療方式:
| 治療方式 | 適用情況 | 預計效果時間 |
|---|---|---|
| 外用A酸 | 輕中度囊腫型痘痘 | 4-8週見效 |
| 口服A酸 | 重度頑固型 | 需要完整療程 |
| 杜鵑花酸 | 伴有色素沉澱 | 6-8週改善 |
| 類固醇注射 | 單顆大型囊腫 | 3-7天快速消退 |
口服A酸雖然效果好,但副作用也多,一定要在醫師指導下使用。我朋友曾經自己亂買來吃,結果嘴唇乾到裂開,還影響肝功能。
如何避免留下疤痕
囊腫型痘痘最怕的就是留下疤痕。想要避免這個問題,時機很重要:
在痘痘還在發炎期,可以使用消炎藥膏控制炎症。等炎症消退後,就要開始使用淡疤產品。維他命C、杜鵑花酸都是不錯的選擇。
如果已經形成疤痕,就要考慮醫美治療。雷射、飛梭等都是有效的選擇,但費用較高,需要多次治療。
注意:疤痕治療越早開始效果越好。如果拖太久,疤痕組織成熟後就更難處理。
生活習慣的影響
很多人只注重外在治療,卻忽略內在調理。其實生活習慣對囊腫型痘痘多久好影響很大:
飲食調整
減少高GI食物、乳製品攝取。這些食物容易刺激皮脂分泌,加重痘痘情況。我發現戒掉奶茶和甜點後,痘痘真的改善很多。
壓力管理
壓力會影響荷爾蒙,進而影響痘痘。找到適合的減壓方式很重要,像是運動、冥想都不錯。
睡眠品質
熬夜會讓皮膚修復能力變差。盡量在11點前睡覺,讓皮膚有足夠時間進行夜間修復。
常見問題解答
囊腫型痘痘可以擠嗎?
絕對不行!囊腫型痘痘在深層,擠壓只會讓炎症擴散,甚至留下永久性疤痕。
為什麼我的囊腫型痘痘一直復發?
可能是根本原因沒有解決。建議尋求專業醫師幫助,找出真正的病因。
囊腫型痘痘多久好才算正常?
一般來說,4-6週應該要有明顯改善。如果超過8週都沒有進步,就要考慮調整治療方式。
可以化妝遮瑕嗎?
可以,但要選擇不會堵塞毛孔的產品,而且卸妝要徹底。最好讓皮膚有休息時間,不要天天化妝。
何時該看醫生?
以下情況建議立即就醫:
痘痘持續擴大、疼痛加劇、伴有發燒症狀,或者自行治療2週完全沒改善。這些可能是感染的跡象,需要專業處理。
根據衛生福利部資料,嚴重的皮膚感染如果不及時治療,可能導致更嚴重的併發症。
個人經驗分享
我曾經有一顆囊腫型痘痘長了整整兩個月才完全好。期間試過各種方法,最後發現還是乖乖看醫生最有效。醫師開的口服藥和外用藥配合,加上生活習慣調整,終於讓它慢慢消退。
現在回想起來,當初如果早點尋求專業幫助,可能就不需要拖那麼久了。所以如果你正在為囊腫型痘痘多久好而煩惱,我的建議是:不要自己亂試,找專業的皮膚科醫師最實在。
結語
囊腫型痘痘的治療需要耐心,想要知道囊腫型痘痘多久好,關鍵在於對症下藥。從正確的清潔、保濕,到專業的醫療協助,每個環節都很重要。
記住,每個人的皮膚狀況不同,恢復時間也會有差異。與其糾結囊腫型痘痘多久好,不如專注在正確的護理上。只要方法對,皮膚自然會慢慢恢復健康。
希望這篇文章能幫助你更了解囊腫型痘痘的治療過程。如果有任何疑問,歡迎在下方留言討論!
分享您的體驗